Abfractions

 
X01751.JPG

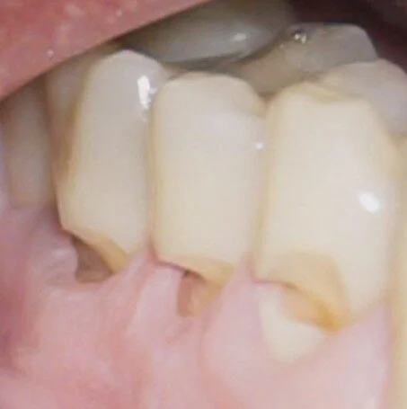
Abfractions are lesions in the sides of teeth near the roots. They are not cavities, but rather areas of the root that are mechanically or chemically worn out.

Back to Information for Patients

There are 3 main factors that cause abfractions:

Abfraction_4.jpg
We can bond abfractions with new materials that flex with the tooth.

We can bond abfractions with new materials that flex with the tooth.

First of all, using a hard brush or brushing aggressively will expose the softer root. It doesn’t cause the abfraction, but makes you prone to more damage. 

X1970230081.JPG

custom-mouthguards.jpg

Secondly, bending or flexing the tooth can weaken it at the root surface. This can be caused by excessive clenching or grinding. Patients who clench or grind may benefit from a guard to protect their teeth. 

They may also need their bite adjusted or rebuilt to reduce excess force on specific teeth.


Third, the weakened root can be abraded away with a more abrasive toothpaste.

If you have abfractions, we advise that you should use a toothpaste with a lower RDA, ideally below 70-80. See the chart below. Avoid those over 100.

A fourth factor that may also be relevant is that excess acid can weaken the root. Acid reflux from your stomach or exposure to acidic drinks and foods can make abfractions worse. You can visit our page on Acid Erosion for more info.

Every toothpaste has an RDA rating- Relative Dental Abrasiveness.

Toothpaste Abrasiveness Chart

Here are some more RDA numbers for other toothpastes:

  • CariFreee CTX RDI: 17

  • Bioniq Repair Toothpaste 66

  • Bioniq Repair Toothpaste Plus 71

  • Kinder Karex 48

  • MI paste: 60 

  • Oral Science Remin: 60 

  • Black and White: 76

  • Elmex Sensitive Plus 26

  • Elmex Sensitive Professional 29-30

Arm & Hammer:

  • Advanced White 3 in 1 Toothpaste: 95-105 

  • Advance White Stain Protection Toothpaste: 95-105 

  • All-in-One Complete Care Whitening Gel: 95-105 

  • Arm & Hammer Essentials Fluoride-Free Toothpaste Whiten + Activated Charcoal 77

  • Arm & Hammer Sensitive Teeth and Gums 81

  • Arm & Hammer Essentials Fluoride Toothpaste Healthy Teeth & Gums 86

  • Arm & Hammer Essentials Fluoride Toothpaste Whiten & Strengthen 86

  • Arm & Hammer Peroxicare Deep Clean Toothpaste 45

  • Bright & Strong Whitening & Enamel Strengthening Toothpaste: 110-116 

  • Clean & Fresh Deep Cleaning & Lasting Freshness Toothpaste: 116 

  • Sensitive Toothpaste From the Makers of Orajel: 45-55 

  • SUPREME FRESH Gel plus Mouth Wash: 95-105 

  • Arm & Hammer Advance White Extreme Whitening Toothpaste 53

Colgate:

  • Sensitive Pro-Relief Enamel Repair: 60-90 

  • Sensitive Pro-Relief Repair & Prevent: 60-70 

  • Sensitive Pro-Relief: 60- 70

  • Colgate Cavity Protection Fluoride Toothpaste

    60-70*

  • Total Fresh Mint Stripe Gel/Paste: 60 - 75 

  • Total Original Clean Mint Paste: 60 - 75 

  • Total Whitening Gel: 120 - 140 

  • Enamel Health Sensitivity Relief Gel: 120- 135 

  • Enamel Health Whitening Paste: 120- 135 

  • Kids Gel: 50-70 

  • Hydris TP: 130-150 

  • MaxFresh Cool Scrub Gel: 120-140 

  • Essentials with Coconut Oil: 160- 185 

  • Essentials with Charcoal: 160- 185

  • Colgate Ultra Brite Advanced Whitening Formula Toothpaste4 145

    Crest:

  • Crest Baking Soda and Peroxide Whitening 107

  • Crest Cavity Protection 108

  • Crest Pro-Health Toothpaste 160-180

  • Crest Multicare Whitening Toothpaste 118

  • Crest 3D White 233

  • Crest Pro Health Advanced Whitening Power 245

Sensodyne

  • Sensodyne Fresh Mint Toothpaste 36-66*

  • Sensodyne Fresh Impact Toothpaste 36-66*

  • Sensodyne Daily Care Original 46-76*

  • Sensodyne Pronamel Gentle Whitening 83

  • Sensodyne Pronamel Mineral Boost Gentle Whitening Action 83

  • Sensodyne Repair & Protect 99-129*

  • Sensodyne Extra Whitening Toothpaste2

    110-140*

  • Sensodyne Full Protection Plus Whitening2

    110-140*

    Misc

  • Boka Ela Mint <50

  • Dr. Wolff BioRepair 69

  • Dr. Bob Unflavored Toothpaste 69.88

  • Himalaya Botanique Whitening Complete Care Toothpaste 70 or less

  • Lumineux Clean and Fresh Toothpaste 87.4

  • Hello Anticavity Toothpaste 90

    Medium to High Abrasiveness (>100- avoid if you have abfractions)
    For those with non-sensitive teeth and for whitening, or those with sensitive teeth if toothpaste includes a desensitizer

  • MadeRedmond Earthpaste 105

  • by Dentists Whitening Toothpaste 107

    Tom’s Of Maine

  • Tom’s of Maine Fluoride-Free Antiplaque & Whitening Toothpaste 90-140*

  • Tom’s of Maine Fluoride-Free Propolis & Myrrh Toothpaste 90-140*

  • Tom’s of Maine Whole Care 90-140*

  • Tom’s of Maine Wicked Fresh! 90-140*

  • Fluoridex Sensitivity Relief SLS Free Toothpaste

    110-125*

  • Sensodyne Extra Whitening Toothpaste2

    110-140*

  • Sensodyne Full Protection Plus Whitening2

    110-140*

  • Arm & Hammer Complete Care Whole Mouth Protection Toothpaste 112

  • Dr. Bronner’s All-One Toothpaste 116.25 -123.59*

  • Fluoridex Daily Defense Toothpaste 117

  • Crest Multicare Whitening Toothpaste 118

  • Colgate Baking Soda and Peroxide Whitening Brisk Mint Toothpaste 120-135*

  • Sensodyne Complete Care 120

  • Sensodyne Rapid Relief 120

  • Crest Sensitivity Protection 126**

  • Crest Pro-Health Toothpaste 160-180

  • Crest Multicare Whitening Toothpaste 118

  • Crest 3D White 233

  • Crest Pro Health Advanced Whitening Power 245

  • Colgate Total Advanced Whitening 140-160*

  • Colgate Total Clean Mint Toothpaste 140-200*

  • Colgate TotalSF Fresh Mint Stripe Gel Toothpaste 140-160*

  • CloSYS Silver Multi-Benefit Toothpaste 242