Dental Implants

 

Dental Implants are artificial roots that replace missing natural teeth. They transfer the load directly to the jaws, rather than relying on remaining teeth to carry the forces.

Back to What We Do

When implants are used to replace missing teeth, the other natural teeth are not involved. They can be placed in most areas of the mouth where teeth are missing. Implants can work independently of each other, unlike other types of replacements which depend on several teeth for support.

iStock-1153624021.jpg

Implants can support a single tooth replacement, a few teeth, or replace a complete set. A few implants can also make a denture much more stable and solid.

The success rate for implants is in the 95-99% rate long term. Their success rate is so high that replacement with implants has become the treatment of choice in situations that used to involve complex dentistry on questionable teeth.

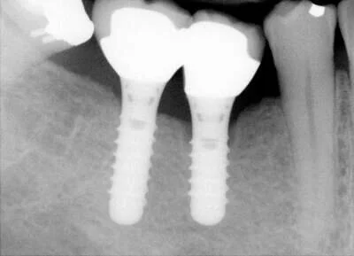
Aurora Periodental Centre does most of the implant surgery for Dr. Ehrlich’s patients, and you can visit their website for more information. In some simpler cases, Dr. Ehrlich places the implants right in this office. Dr. Ehrlich restores the teeth on the implants. Once the implants are in place, all the rest of the dentistry is just “nuts and bolts"- no drilling, noise or anaesthetic involved. (Photos below show the before, during, and after of 2 implants by x-ray, as well as photos of the temporary caps and the finished product!)

implant_xray_preop.jpg

Missing Teeth

Implants placed, waiting for bone to grow in.

implant_caps.jpg

Protective caps

implant_postop_pa.JPG

Teeth on the implants

Implant Bridge Postop.jpg
Here is a view of a completed implant. Can you tell which is the implant, and which is the natural tooth? (The tooth in the middle is the artificial one!)

Here is a view of a completed implant. Can you tell which is the implant, and which is the natural tooth? (The tooth in the middle is the artificial one!)

There is an excellent video of implant procedures on Dr. Arlin’s site linked here.

Implants can be used to lock down a denture.  Lower dentures are especially prone to moving, but once locked down with mini-implants they are very secure. We can do this in a couple of fairly easy appointments. It does not involve any surgical cutting of gums, just direct implant placement.


dental-implant.jpg

Implants are not always ideal treatment:

  • There are situations where the nearby teeth would benefit from crown treatment, and a missing tooth could easily be replaced by a bridge in this case, rather than an implant.

  • Certain locations can be more difficult for implant placement, like the upper back tooth replacement if the sinuses are involved, or the lower back tooth regions if the nerve is close to the surface. Implants may not be possible in these cases. There is also a slightly higher chance for implants to fail here and need replacement or alternative treatment.

  • Implants have a much higher failure rate in smokers. The success rate returns almost to normal in patients that have stopped smoking.

Please be aware that insurance does not always cover the most advanced dentistry, even if it has a higher success rate. Currently insurance companies do not cover the implant placement, although some cover the crowns on the implants.